Қасиетті Құранда Алла Тағала адамның эмбриондық даму кезеңдерін былайша түсіндіреді:
"Ақиқатында, Біз адамды саздан жараттық. Содан соң оны шәует тамшысы етіп (яғни, нұтфаны) орнықты бір мекенге орналастырдық. Кейін сол тамшыны ‘ғалақа’ еттік (ғалақа - жабысқан нәрсе, сүлік тәрізді, ұйыған қан). Одан кейін ‘ғалақаны’ ‘мудға’ға (яғни. шайналған етке ұқсас нәрсеге) айналдырдық. Сонан соң мудғаны сүйектерге айналдырып, сүйектерді етпен қаптадық. Сосын оны басқа бір жаратылыс қылдық. Алла – ең жақсы Жаратушы!” (Муминун сүресі, 12–ші 14-ші аяттар)
Аяттағы "ғалақа" сөзі араб тілінде тілдік тұрғыда үш мағынаға ие:
• 1. Сүлік,
• 2. Аспалы (ілінген) нәрсе,
• 3. Ұйыған қан.
Төменде осы үш мәннің эмбриомның даму кезеңіне қаншалықты қатысы бар екенін талдайтын боламыз:
Алдымен Аяттағы "ғалақа" сөзінің сүлік мағынасымен байланысын қарастыралық:
Суретке қарасақ “ғалақа” кезеңіндегі эмбрионның сыртқы пішіні сүлікке ұқсайтыны байқалады (бірінші суретке қараңыз). Сонымен қатар, осы кезеңдегі эмбрионның анасының қанымен қоректенетінін назарға алсақ, осы жөнінен де сүлікке ұқсастығы бар2.

(Рис. 1: На рисунке можно увидеть внешнее сходство пиявки и человеческого эмбриона на стадии алак . (Рисунок пиявки взят из книги Human Development as Described in the Quran and Sunnah, ["Развитие человека в трактовке Корана и Сунны"],Мур и другие (Moore and others), стр. 37, и представляет собой модифицированный вариант рисунка из книги Integrated Principles of Zoology ["Интегрированные принципы зоологии"], Хикман и другие (Hickman and others). Рисунок человеческого эмбриона взят из книги The Developing Human ["Развивающися человек"], Мур (Moore) и Персо (Persaud), 5-е издание, стр. 73.).
Ілінген нәрсе:
Аяттағы «ғалақа» сөзінің екінші мәні - «ілінген нәрсе» дегенді де білдіреді. Екінші және үшінші суреттерден "ғалақа" кезеңіндегі Эмбрионның бейнебір жатырда ілініп тұрғандай кейіпті елестетеді.

(Рис. 2: На этом рисунке мы можем видеть, что на стадии алак эмбрион находится в утробе матери (в матке) в подвешенном состоянии. ( The Developing Human ["Развивающися человек"], Мур (Moore) и Персо (Persaud), 5-е издание, стр. 66.)

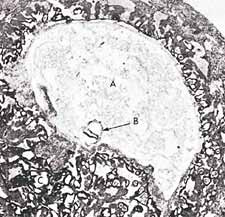
(Рис. 3: На этой микрофотографии мы можем видеть, как на стадии алак эмбрион в возрасте 15 дней (отмечен буквой В) подвешен в утробе матери. Истинный размер этого эмбриона - около 0,6 мм.(Рисунок взят из книги The Developing Human ["Развивающися человек"], Мур (Moore), 3-е издание,стр. 66, и воспроизводит рисунок из книги Histology ["Гистология"] Лисон и Лисон (Leeson and Leeson))
Үшінші мәні - ұйыған қан.
Ұрық Құран тілімен айтқанда "ғалақа" кезеңінде эмбрион мен оның қабықтарының түсі мен құрылымы қан ұйындысына ұқсайды, себебі эмбрионда қан мөлшері көп болады. (төртінші суретті қараңыз). Бұнымен қатар, эмбрионның «ғалақа» кезеңі (үшінші аптаға дейін) - қан айналымы әлі басталмаған кез болып саналады, яғни, ұйыған қан кейіпінде.

(Рис. 4: Изображение примитивной сердечно-сосудистой системы эмбриона на стадии алак . Внешний вид эмбриона и эмбриональных оболочек напоминает кровяной сгусток, из-за присутствия в эмбрионе сравнительно большого количества крови ( The Developing Human ["Развивающися человек"], Мур (Moore), 5-е издание, стр. 65.).
Ендеше, қасиетті аяттағы «ғалақ» сөзінің қамтитын үш мәннің де «эмбрионның» алақ стадиясындағы сипатына дәл сәйкес келеді екен.
Қасиетті аятта айтылып отырған келесі кезең, ол «мудға» кезеңі.
Мудға кезеңі:
Аяттағы эмбрионның дамуының келесі кезеңі – мудға кезеңі, яғни «шайналған зат» (немесе бір шайнам ет). Егер сағызды шайнап, оны алып оны "мудға" кезеңіндегі эмбрионмен салыстырып қарасақ – аятта айтылған «мудға» стадиясындағы эмбрионның «шайналған затқа» ұқсайтындығын көреміз. Бұл ұқсастықтықты - эмбрионның арқа жағында орналасқан сомиттердің белгілі деңгейде «шайналған заттағы тіс іздеріне” ұқсайтындығымен түсіндіруге болады. Бұл жағдайды бесінші және алтыншы суреттерден анық байқай аламыз.

Рис. 5: Фотография эмбриона на стадии мудга (в возрасте 28 дней). На этой стадии эмбрион приобретает сходство с пережеванной массой. Это сходство о б у с л о в л е н о тем, что сомиты, р а с п о л о ж е н н ы е в спинной части эмбриона, в какой-то мере напоминают отпечатки зубов. Истинный размер этого эмбриона составляет 4 мм. (Рисунок взят из книги The Developing Human [ " Р а з в и в а ю щ и й с я человек"], Мур (Moore) и Персо (Persaud), 5-е издание, стр. 82, для которой он был предоставлен профессором Хидео Нишимурой (Hideo Nishimura) из Киотского университета, Япония.).

(FРис. 6: Сравнивая внешний вид эмбриона на стадии мудга и пережеванной жевательной резинки, мы можем заметить между ними сходство. A) Изображение эмбриона на стадии мудга. Мы можем видеть, что сомиты, расположенные в спинной части эмбриона, напоминают отпечатки зубов (The Developing Human ["Развивающийся человек"], Мур (Moore) и Персо (Persaud), 5-е издание, стр. 79.) Б ) Фотография разжеванной жевательной резинки. изображение.)
Мұхаммед пайғамбар (с.а.у.) мұны қайдан білді?
Енді осыдан кейін мынадай сұрақ туады, егер Құранды Мұхаммед пайғамбар саллаллаһу алейһи уә сәлләм жазған болса, Ол мұны қайдан білді? 1400 жыл бұрын өмір кешкен Мұхаммед пайғамбар (с.а.у.) мұның бәрін білуі мүмкін бе? Ғалымдар бұл мәліметтерді тек жақында ғана анықтай алды, онда да аса күрделі жабдықтар мен өте қуатты микроскоптарды пайдалана отырып. Ал ол заманда ондай құралдар мүлде болмаған ғой.
Хамм мен Левенгук (Hamm және Leeuwenhoek) — жетілдірілген микроскоп арқылы адам сперматозоидын алғаш көрген ғалымдар. Бұл 1677 жылы, Мұхаммед пайғамбар (с.а.у.) дүние салғаннан кейін мың жылдан аса уақыт өткен соң жүзеге асты. Бірақ олар қателесіп, сперматозоидтің ішінде кішкентай адам бейнесінің толық қалыптасқан көшірмесі, яғни, «гомункулус” бар деп ойлады. Олар бұл гомункулус әйелдің жыныс мүшесіне түскен соң үлкейіп, адамға айналады деп сенген5. Ал олардан мың жыл бұрын түскен Құран Кәрімдегі ұрықтың даму кезеңі таңғажайып түрде дәл сипатталып, онысы он төрт ғасыр өткеннен соң ғылым оның дәл солай екендігін дәлелдеп отыр. Бұл ақиқат Құранда қалай орын алған? Оқу, жазу білмейтін, медицина дамымаған дәуірде, ғылым дамымаған дәуірде ұрықтың даму кезеңін егжей-тегжейлі қалай білген? Оның бір ғана жауабы бар, ол әр бірегейді бір тамшыдан пайда қылып, таңғажайып түрде оны бейнелеген, оған ағзалар беріп, сүйкімді жаратылыс жасаған шексіз шебер Алла Тағаланың сөзі деуден басқа амал жоқ.
Жазбамыздың соңын көрнекті анатом және эмбриолог, профессор Кейт Л. Мурдың сөзімен аяқтайық.
Кейт Л. Мур — әлемдегі ең танымал эмбриология мамандарының бірі6. Ол “The Developing Human” кітабының авторы. Бұл кітап 8 тілге аударылып, АҚШ-та «ең үздік авторлық еңбек» ретінде танылды. Ол Торонто университетінде анатомия кафедрасын басқарған, Канада мен АҚШ-та түрлі анатомиялық қауымдастықтарға жетекшілік еткен.
1981 жылы Сауд Арабиясында өткен медициналық конференцияда профессор Мур былай дейді:
"Құранда адамның даму кезеңдері туралы айтылған мәліметтер мені таң қалдырды. Бұл мәліметтерді Мұхаммедтің Алладан алғаны анық, себебі ондағы ақпараттарды ғалымдар тек ғасырлар өткен соң ғана анықтады" – деді7.
Сонда сол жердегілер Оған: "Бұл сіздің Құран – Алланың сөзі деп сенетініңізді білдіре ме?" – дегенде,
ол: "Мен бұған сенбеуге еш себеп көріп тұрған жоқпын", – деп жауап берді8.
Дереккөз: https://www.islamreligion.com/
Қазақшалаған: islam.kz
(1)The Developing Human ["Развивающися человек"], Мур (Moore) и Персо (Persaud), 5-е издание, стр. 8.
[2]Human Development as Described in the Quran and Sunnah ["Развитие человека в трактовке Корана и Сунны"], Мур и другие (Moore and others), стр . 36.
[3]Human Development as Described in the Quran and Sunnah, ["Развитие человека в трактовке Корана и Сунны"], Мур и другие (Moore and others), стр . 37-38.
[4]The Developing Human, ["Развивающися человек"], Мур (Moore) и Персо (Persaud), 5-е издание, стр. 8.
[5]The Developing Human, ["Развивающийся человек"], Мур (Moore) и Персо (Persaud), 5-е издание, стр. 9.
[6]Примечание. Специализация всех упомянутых ученых приводится по данным 1997 года..
[7]Эти слова взяты из видеофильма This is the Truth [Это истина] (видеокассета)., нажмите здесь.
[8]This is the Truth [Это истина] (видеокассета)...