|
Ученые впервые сфотографировали процесс размножения коронавируса. Китайские медики показали снимки легких, которые поражены коронавирусом
|
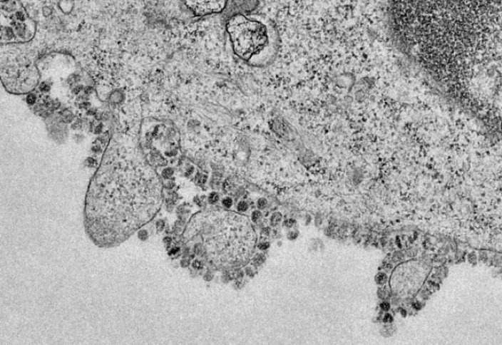
Исследователи из Университета Гонконга впервые получили изображение того, как коронавирус 2019-nCoV выходит из заражённой клетки для дальнейшего распространения инфекции. Об этом сообщает Bloomberg.
Учёные специально культивировали клетки и заражали их новым коронавирусом. На фотографии, полученной с помощью электронного микроскопа, отчётливо видно, как вирусные частицы высвобождаются с поверхности заражённой клетки, в которой они были произведены.
В настоящий момент учёные изучают поведение коронавируса в разное время заражения клетки для того, чтобы понять отличия 2019-nCoV от других типов коронавирусов.
Ранее ИА REGNUM сообщало, что китайские учёные установили среднюю продолжительность инкубационного периода коронавируса, который составляет 5,2 дня, а также определили, что среднее число заражений острым респираторным заболеванием 2019-nCoV людей уступает примерно в пять раз аналогичному показателю кори.
Китайские медики показали снимки легких, которые поражены коронавирусом
В воскресенье, 2 февраля, в сети появились снимки легких пациентки, которая заразилась коронавирусом. Изображения, опубликованные в журнале Radiology.
Известно, что снимки сделаны 33-летней женщины, которая заразилась коронавирусом. Их получили в результате компьютерной томографии. О пациентке известно, что её госпитализировали в китайском городе Ланьчжоу. У пострадавшей была температура 39 градусов.
На пером снимке видны пятна, которые создают "эффект матового стекла". Второй снимок сделали

В Китае обнаружили еще один смертельно опасный вирус
В китайской провинции Хунань зарегистрирована вспышка птичьего гриппа H5N1. Об этом сообщил Минсельхоз страны, передает РИА Новости.
Данная провинция граничит с провинцией Хубэй, ставшей эпицентром эпидемии нового коронавируса 2019-nCoV.
ВОЗ сообщила о первой смерти от коронавируса вне Китая
Первая смерть от коронавируса за пределами Китая зафиксирована на Филиппинах, умер 44-летний мужчина из Уханя, сообщает филиппинское отделение Всемирной организации здравоохранения в Twitter. Об этом передали РИА Новости.
Уточняется, что он был вторым по счету больным на Филиппинах, у кого был подтвержден коронавирус. Смерть наступила 1 февраля.
Власти Китая 31 декабря 2019 года сообщили Всемирной организации здравоохранения о вспышке неизвестной пневмонии в городе Ухань, расположенном в центральной части страны. Специалисты установили возбудителя болезни – это коронавирус 2019-nCoV.
ВОЗ квалифицировала происходящее как чрезвычайную ситуацию международного значенияПо последним данным, общее число заболевших в Китае достигло 14 380 человек, умерли 304, выписаны из больниц 328.
Вне Китая заболели более ста человек.
Коронавирус унес уже 304 жизни. В Китае вспыхнула новая эпидемия
Число жертв нового типа коронавируса и количество заразившихся продолжают неуклонно расти. По состоянию на полночь 1 февраля от вспышки инфекции погибли 304 человека, количество подтвержденных случаев заражения достигло 14 551, сообщает South China Morning Post со ссылкой на государственный комитет по вопросам здравоохранения КНР.
Все случаи гибели людей зафиксированы на территории провинции Хубэй, где находится очаг вируса. Среди инфицированных 1118 находятся в тяжелом состоянии, 444 - в критическом. Также сообщается, что 328 человек выписаны из больниц.
Кроме того, зарегистрирован 43 121 случай с подозрением на новый тип коронавируса. Под наблюдением медиков находятся еще почти 137,6 тысячи человек, имевших тесный контакт с заболевшими.
Днем ранее официально сообщалось о 11 791 заболевшем и 259 умерших.
По информации ученых Гонконгского университета, число зараженных коронавирусом в Ухани может составлять более 75 тысяч человек.
Вирус проник по меньшей мере в 23 страны. Всемирная организация здравоохранения (ВОЗ) объявила вспышку коронавируса чрезвычайной ситуацией международного значения.
Для сдерживания эпидемии США, страны Европы, Россия, Австралия и Сингапур ввели запрет или ограничили въезд граждан Китая и других иностранцев, недавно посетивших Китай.
Между тем в китайской провинции Хунань, которая с юга граничит с провинцией Хубэй, зарегистрирована эпидемия птичьего гриппа H5N1. Об этом говорится в заявлении министерства сельского хозяйства страны.
"Вспышка высокопатогенного птичьего гриппа H5N1 произошла на одной из ферм в районе Шуанцин города Шаоян провинции Хунань. На ферме было 7850 домашних птиц, из них 4500 заразились и погибли", - говорится в сообщении ведомства.
Случаи заражения человека птичьим гриппом H5N1 пока не зафиксированы.
Число жертв коронавируса резко возросло
Названы самые уязвимые для коронавируса группы населения
Коронавирус, который распространяется из Китая, опасен прежде всего для пожилых людей. Об этом заявила руководитель Роспотребнадзора Анна Попова, передает РИА «Новости».
«Надо позаботиться о своих детях и о пожилых людях. Для них, особенно для пожилых, этот вирус крайне опасен», – подчеркнула Попова.
Наступает сезон гриппа, и меры профилактики при этом заболевании и коронавирусной инфекции схожи, отметила глава Роспотребнадзора.
«Главное правило – мойте, пожалуйста, руки. Держите в чистоте свои гаджеты, не прикасайтесь руками к своему лицу. Пожалуйста, позаботьтесь о себе. И первые же симптомы должны заставить каждого из нас обратиться к врачу», – сказала Попова.
Жертвами коронавируса в Китае стали уже 213 человек, заражены около 9,7 тысячи человек. Всемирная организация здравоохранения признала вспышку нового коронавируса чрезвычайной ситуацией международного значения.
Японские эксперты показали, как правильно надевать защитную маску
В Китае с распространением эпидемии коронавируса нового типа защитные маски стали предметом первой необходимости. Спрос на них растет по всему миру. Многие используют простые дешевые хирургические маски, состоящие из двух слоев и крепящиеся на голове при помощи резинок или завязок. Японский производитель подобного типа масок отмечает, что большинство людей надевают их неправильно, пишет SoraNews24.
По словам специалистов компании Medicom, при надевании маски места крепления завязок с защитной тканью (смотрите на фото) должны быть обращены не внутрь, а наружу, как показано на снимках.




Таким образом маска более плотно прилегает к лицу, не давая вирусам попасть через микрощели в дыхательные пути. Кроме того, места контакта могут привести к раздражению кожи из-за клея, которым они скреплены.
Эксперты японской компании заявили, что неправильное ношение маски на 40 процентов увеличивает шанс проникновения патогена внутрь.
В Medicom напомнили, что прежде чем надеть маску, стоит вымыть руки. Снимать же маску нужно, тоже предварительно вымыв руки и держа ее строго за завязки, не касаясь поверхности. Снова ее использовать будет нельзя - она должна быть утилизирована, а руки снова придется вымыть.
Тем, кто не хочет подхватить инфекцию, передающуюся воздушно-капельным путем, специалисты советуют очищать руки как можно чаще и усерднее и не трогать лицо грязными пальцами.
Смертоносный коронавирус из Китая | Чем он опасен и откуда взялся?